
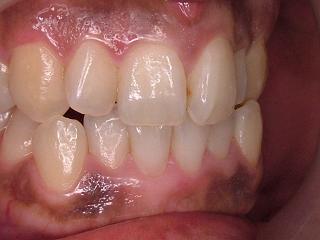
前歯の間に小さな虫歯(コンタクトカリエス)があります。

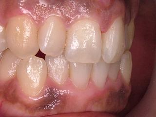
となりの歯を傷つけない様に、メタルフォイルで保護しながらカリエス除去。

レジンを充填、研磨して終了です。
言葉にすると簡単ですが、麻酔から始まり一連の処置が終了するのに小一時間かかっています。キレイなアールを描く歯のライン、将来着色しないようにする為のスムーズなマージンの研磨及びナノフィラーを用いてのレジン充填。
CR充填は保険で認められている処置ですが、審美性を求める患者さまには自費での処置をお薦めしております。
あくまで保険は病気を治すのみで、カリエスを取った後の穴にレジンを入れればOKと言うレベル、衛生士さんがつめても合法です。結局何ヶ月~1年程度で色が変わりやり替え、また歯を削るの繰り返し、ついには被せましょうって事にになってしまいかねません。もう繰り返す治療?はやめにしませんか?
前歯CR(コンポジットレジン)症例





