30代 女性の患者さま
西口の矯正専門歯科医院で半年ほど前に動的治療が終わり
リテーナーを寝てる間と昼間2時間使用するようにと言われていました。
指示に従っていたのですが
奥歯がかみ合わなくなってきた。
前歯に微妙な隙間が出て気になる。
と、DRに相談したそうなのですが
なぜか逆切れされ、治すにはもう一度140万円かけて再治療しかないと言われたそうです。。
DRと何か険悪な関係になっていたのですか?
とお尋ねしたところ、特には。。と。
マウスピースのリテーナーですと奥歯が空いてしまうのもあるあるですし
歯は動きますから(動かないと矯正は出来ません)後戻りで隙間が出ることもあります。
なんで再治療、しかも装置料全額請求??意味分りません
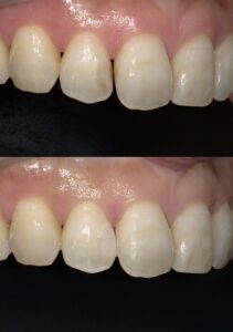
当医院では6番7番以外、wire-fixで裏側に固定し、6番7番の自然挺出を待ちました。
2~3ヶ月で当たるようになってきましたね。
あと、気になる前歯の微妙な隙間ですが、コンタクト・カリエスになっていましたので
CRにて修復。
保険治療なので再診料も入れて2000円で済みました。





