
![]()

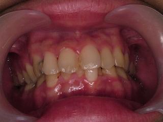
前歯のCRです。
右上3番から左上2番まで、すべての歯と歯の間が以前詰められているのですが
二次カリエスになっていました。
この患者さまもネット経由で来院されました。
前歯は保険でもキレイに仕上げたいですよね(笑)
術前の写真がひどくてスイマセン。
前歯CR(コンポジットレジン)症例
前歯CR(コンポジットレジン)症例

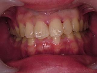
![]()

前歯のCRです。
右上3番から左上2番まで、すべての歯と歯の間が以前詰められているのですが
二次カリエスになっていました。
この患者さまもネット経由で来院されました。
前歯は保険でもキレイに仕上げたいですよね(笑)
術前の写真がひどくてスイマセン。