
![]()

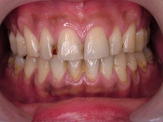
歯の着色が気になり、net経由で来院された患者さまです。
ホワイトニングをご希望でしたが、
まずクリーニングと前歯の虫歯を治してからとお話しさせて頂きました。
スケーリングとエアーフローでの歯石と着色落としに2回通って頂き
3回目に前歯のCR充填を行いました。
スッキリ、キレイになりましたね(笑)
今後、引き続き歯ぐきの下に隠れている汚れ落とし(SRP)を行い
ホワイトニングもスタートします。
今回詰めたCRもホワイトニング後を想定して、現在の色よりも白いものを選択しています。
カメレオン効果で今も不自然には感じませんね。

![]()

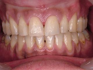
もう1症例、前歯のCR充填です。
矯正をご希望で来院された患者さまです。
歯並びを治すのはとても素晴らしい事ですが
その前に虫歯と歯周処置は完了しておかなくてはなりません。
今回右上1.2番のCRと歯ぐき整形を行ないました。
まだ少し出血してますね(汗)
前歯CR(コンポジットレジン)症例





