
![]()

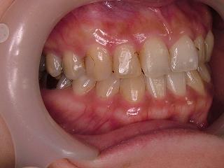
前歯のCR充填です。
前歯のコンタクトカリエスにはCRでの修復が基本ですね。
当医院でも毎日の様に行う一番多い処置ではないでしょうか。
CR 基本的な処置なのですが
仕上がりは術者のテクニックで大きく変わる処置でもあります。
どれだけキレイに仕上げられるか。。
毎日挑戦です(笑)
前歯CR(コンポジットレジン)症例
前歯CR(コンポジットレジン)症例

![]()

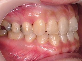
前歯のCR充填です。
前歯のコンタクトカリエスにはCRでの修復が基本ですね。
当医院でも毎日の様に行う一番多い処置ではないでしょうか。
CR 基本的な処置なのですが
仕上がりは術者のテクニックで大きく変わる処置でもあります。
どれだけキレイに仕上げられるか。。
毎日挑戦です(笑)