
![]()

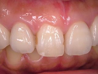
前歯の間を虫歯にしてしまい、CRで治療した方は多いのではないでしょうか?
コンタクトカリエス予防にはデンタルフロスが有効ですよ。
虫歯を治してもらったけど
色が合っていない。。
形がしっくりこない。。
デンタルフロスが通らない。。
変色している。。
そんなお悩みをすずき歯科で解決しませんか(笑)
前歯CR(コンポジットレジン)症例
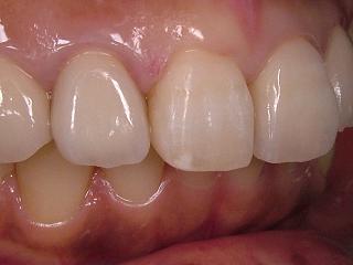
前歯CR(コンポジットレジン)症例

![]()

前歯の間を虫歯にしてしまい、CRで治療した方は多いのではないでしょうか?
コンタクトカリエス予防にはデンタルフロスが有効ですよ。
虫歯を治してもらったけど
色が合っていない。。
形がしっくりこない。。
デンタルフロスが通らない。。
変色している。。
そんなお悩みをすずき歯科で解決しませんか(笑)