
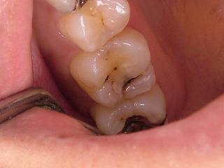
右上6番に虫歯があります。
虫歯は入口が小さくても、中で大きく拡がっている事が多いんです。
歯の構造上しかたがない部分でもあるのですが。。

虫歯を取りました。

ラバーダムシートを掛け唾液をブロックします。
ボンディング材、レジンに唾液が付くと接着力、強度が著しく低下します。

レジン充填をしました。
臼歯部用の硬度が高いレジンです。

研磨、かみ合わせのチェックをして終了です。
キレイになりました(笑)
奥歯CR(コンポジットレジン)症例
奥歯CR(コンポジットレジン)症例

右上6番に虫歯があります。
虫歯は入口が小さくても、中で大きく拡がっている事が多いんです。
歯の構造上しかたがない部分でもあるのですが。。

虫歯を取りました。

ラバーダムシートを掛け唾液をブロックします。
ボンディング材、レジンに唾液が付くと接着力、強度が著しく低下します。

レジン充填をしました。
臼歯部用の硬度が高いレジンです。

研磨、かみ合わせのチェックをして終了です。
キレイになりました(笑)