
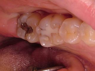
左下6番、CR充填のやり替えです。
歯とCRのつなぎ目から虫歯になっていました。

詰まっていたCRを取ると、さらにその下に虫歯が拡がっていました。
悪い歯質を全て取り、ラバーダムをして唾液からの感染防止
無菌状態での履層(神経の保護)、CR充填を行いました。

キレイになりましたね。
歯科治療は全てのステップをしっかりしないと、結局やり替えやり替えになり
最後には歯を失う事になってしまうかもしれません。
ラバー 多少息苦しいですがガマンして下さいね。
奥歯CR(コンポジットレジン)症例





