
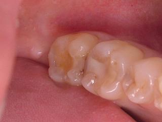
左下7番セラミックインレーの破折です。
2~3年前に他医院で6番7番を保険の銀歯からセラミックに変えたそうです。。

破折片及び新しく虫歯になってしまった感染歯質の除去をして
ラバーダムをかけます。隣接面を含む場合は2~3歯露出するようにします。

CRを充填、研磨して終了です。
6番のセラミックよりキレイだと思いませんか(笑)
セラミックスでの修復は素晴らしいです。
きちんとつなぎ目を合わせられますし、材質の劣化もなくいつまでもキレイ状態をキープ出来ます。
しかし全ては精度の問題です。
ルーズな形成で精度の低いアルギン酸での型取りではすぐにダメになってしまいますね。
奥歯CR(コンポジットレジン)症例





