
![]()


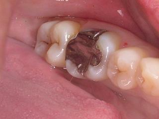
奥歯の銀色の詰め物(インレー)のやり替えです。
補綴物(詰め物、被せ物)で重要な事はしっかり咬める事と
マージン(歯とのつなぎ目)が削ったラインにピッタリ一致している事です。
マージンがルーズだと、将来的にまた虫歯にしてしまいます。
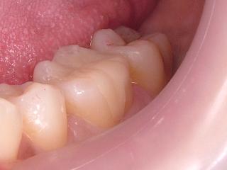
保険の範囲でも、CRで白く修復する事は可能ですが
隣接面を含む場合はマージンを確認する事が出来ない為、型どりした場合に比べて
精度が落ちます。
隣接面を含むインレーではセラミックもしくはハイブリッドをお薦めしております。
金属イオンの流出による健康への影響もございません。
何回もやり変える修復はヤメにしませんか。
ちなみに保険の修復では2~5年でダメになると言われています。
セラミックインレー症例





