
![]()

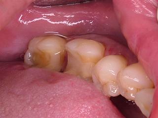
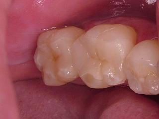
左下6番7番のセラミックインレーです。
この症例ではE-maxと言うセラミックブロックから
CAD/CAMによる削り出しで製作しています。
以前のオールセラミックス修復は、技工士さんの技術、職人技で出来栄えが大きく違いましたが、E-maxでは安定した結果が望めます。
ブロックからの一体成型なので気泡、焼成等のムラがなく破折の危険性が低くなりました。
欠点はシェード(色味)が限られていますので、細かい色調の再現が出来ない事でしょうか。前歯には向かないかも知れません(笑)
セラミックインレー症例
セラミック・インレー E-max
ラバーの重要性 »





