



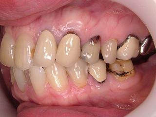
本日、左上5番6番のハイブリッドセラミックスをsetしました。
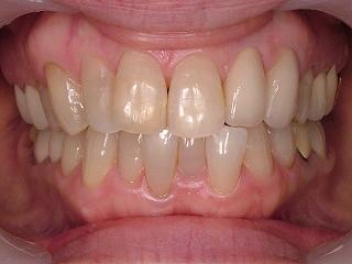
前歯に関しては審美性が一番大切だと考えますので
オールセラミックスの修復がbestです。
4番以降であればハイブリッドでも充分キレイです。
セラミックのみでは、硬度はあるのですが粘りがない為
奥歯に使用すると割れる危険性があります。
ハイブリッドはレジンの性質も少し持ち合わせていますので
粘りがあり、逆に奥歯の使用ではオールセラミックスよりbetterです。
価格も1/2ですので経済的ですね。
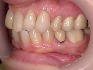
審美性を考えなければ今でもゴールドが一番イイんですね。
あまり受け入れられませんが。。。
それと最近では色の制限があるのですがジルコニアの被せ物もイイですね。
セラミックスより圧倒的に丈夫です。
ただ色が2色しかないのです(泣)これからに期待です。
オールセラミックスクラウン症例





