
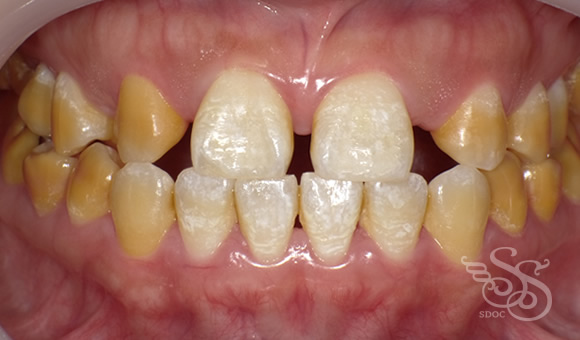
正面:術前

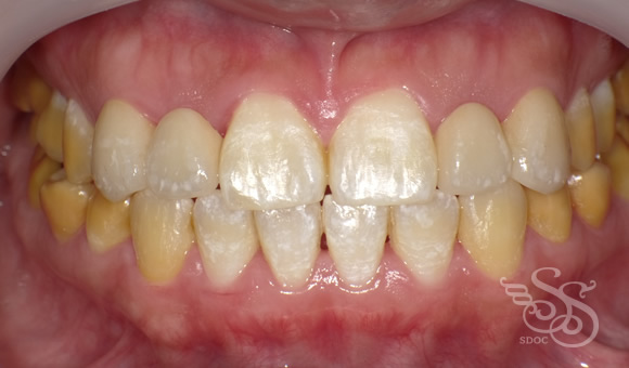
正面:術後

口元:術前

口元:術後

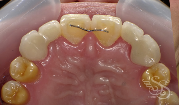
上顎:術前

上顎:術後

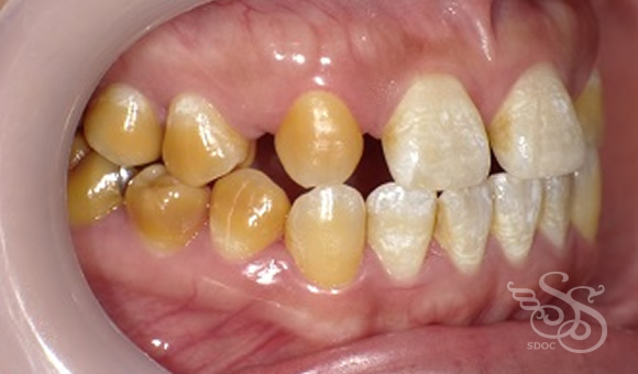
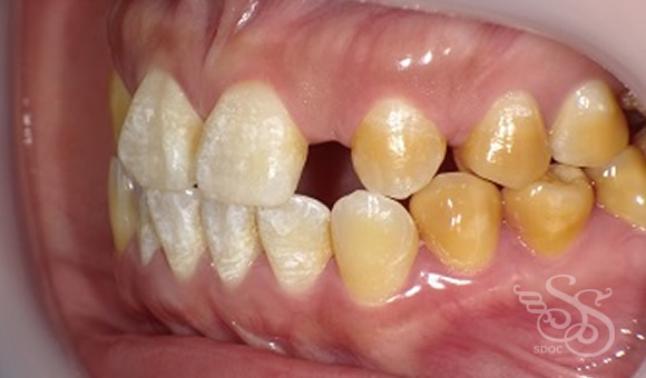
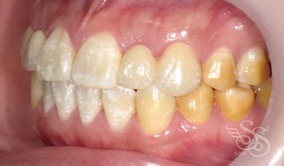
右側:術前

右側:術後

左側:術前

左側:術後

横顔:術前

横顔:術後
上顎2番の先天的欠如の患者さまです。
当初、シンデレラスマイルをご希望で来院されました。
とにかく歯を削りたくない。。とのご要望でした。
シンデレラスマイルも製作は可能ですが、個々の歯の位置がずれているため、
歯冠部と歯根の位置がずれた不自然な見た目になってしまうこと、
3番がクロスバイト気味で顎にストレスがかかっていることを説明し
まず部分矯正でスペースの整理、クロスバイトの改善をご提案。
同意頂けたので、6か月前歯のみ部分矯正。途中から2番部には仮歯も装着。
リテンションに6か月おいてから、
①リテーナーブリッジ
利点 費用体効果のバランスが良い
3番の色が変わるので見た目が自然になる
欠点 健全歯の削合が必要
場合によっては神経を取らなくてはいけなくなる
セラミックが欠けることもある
②部分義歯
利点 歯を削らなくて済む
費用が安価
欠点 扱いが煩わしい
金属色が微妙に見えてしまう
③インプラント
利点 歯を削らない
強度的には一番
欠点 上顎前歯部は失敗時が悲惨
一番高額
…をご提案させていただき、①リテーナーブリッジを製作いたしました。
写真では多少色味が違うようにも見えますが、
実際はすごく自然な感じで仕上がっております。
長年のコンプレックスから解放されたと大変よろこんで頂き、うれしく思います。
遠方から頑張って通っていただき感謝です。
矯正費:165,000円
補綴費:585,200円





