


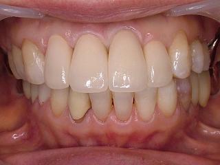
前歯のオールセラミックスです。
上の写真が術前
まん中が オールセラミックス完成1回目
下の写真が修正、set時です。
患者さまの気にされていた上と下の前歯のすき間がなくなりました。
ただ単に歯を長くした訳ではなく、咬合器にマウントして顎の動きを再現し
ストレスのない形態を付与しています。
加齢とともに口角は下がってきます。
すると上の前歯よりも下の前歯がよく見えるようになります。
逆に上の前歯がよく見えるように補綴すると若々しい印象を与えられます。
素敵な笑顔になりましたね。
オールセラミックスクラウン症例





