
![]()

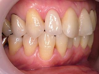
右上2番のオールセラミックスです。
set後約1.5年になります。
ホワイトニングも行っていますので歯はより白く輝き歯ぐきの状態も安定していますね。
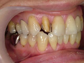
上は初診時の写真です。
10年前に入れたセラミックがお子さんの頭に直撃され破折したと来院されました。
ヒザの上にお子さまをのせていて、いきなり動かれると歯を傷付けてしまうケース、結構あります。ご注意下さいね。
10年前のオールセラミックスはセラミックの粉末を築成して焼き上げるので、気泡が入ったり、重合収縮が起こり易く適合性に問題が出たりと、完成度は技工士さんの腕によるところが大きかったのです。職人技ですね。
現在ではジルコニアでフレームを造りますので適合性の問題は少なくなりましたが
歯の形づくりは相変わらず技工士さんの腕にかかっています。
技工士さんの腕以前に模型がアルギン酸印象で変形していては話になりませんね(笑)
素敵な歯を仕上げてくださる技工士さんに感謝です。
オールセラミックスクラウン症例
右上2番前歯のオールセラミックス
« 患者さまの声





