
![]()

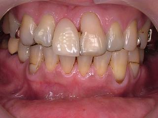
右上3番と②1①②のメタルボンドブリッジです。
オールセラミックスが出るまではメタルボンドが審美修復の定番でした。
小さな白金で出来た冠の外側にセラミックスを焼付けて製作します。
金・白金のクラウンと同様に数十ミクロンの単位まで適合させる事が可能です。
強度も高い為ブリッジにも応用出来ますが、欠点として内面金属の光の反射によって
歯と歯ぐきの境目に黒っぽい影が少し出てきます。
アダルティなモデルさん達の歯と歯ぐきの境目が黒っぽいのは多分にこのためですね。
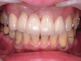
バランスのとれたキレイな見た目になりました。
今後細かい虫歯を治せばパーフェクトな口もとになりますね(笑)
オールセラミックスクラウン症例





