自費治療の補綴物製作では、シリコン印象を用いて徹底的に精度を上げた模型を使用します。マージン(歯とのつなぎ目、削ったライン)がしっかり出ていないと、スムースな形になりません。技工士さんはマージンが正確に分かる模型が欲しいのですね。
申し訳ありませんが、保険ではアルギン酸の印象になります。


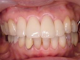
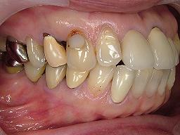
右上6番のハイブリッド・セラミックスです。
正確な印象を行っておりますので、ほぼ無調整でset出来ました。
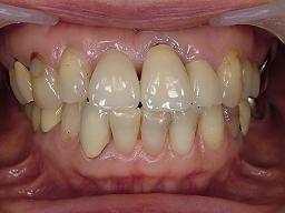
通常、普通の会話をしている時でも上顎6番の歯までは見えると言われています。
笑った時はもっとですよね。
逆に6番まで白く仕上げると、とてもチャーミングで若々しい印象になります。




キレイになりましたね。
オールセラミックスクラウン症例
奥歯を白く(ハイブリッド・セラミックス)
次の投稿 »





