診療時間 9:00-13:00 / 15:00-19:00※水は18:00まで 木日祝:休診
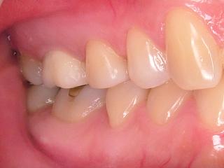
オールセラミックスクラウン症例
右上6番のハイブリッドセラミックスです。 当然ファイバーコアを使用しております(笑)
診療時間 9:00-13:00 / 15:00-19:00 ※水は18:00まで 木日祝:休診
★ 水午後は18:00まで 休診:木・日・祝
〒330-0842 埼玉県さいたま市大宮区浅間町2丁目206−5
電車でお越しの方JR大宮駅より徒歩約20分、JRさいたま新都心駅より徒歩約15分
お車:首都高速埼玉新都心線「新都心インター」より約5分
駐車場:6台分完備