
![]()

![]()

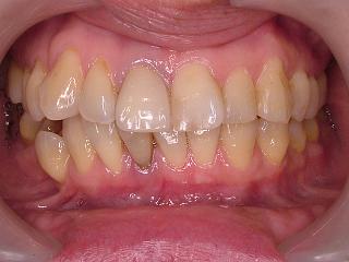
右上1番セラミックス症例です。
3年前位にメタルボンド(白金フレーム+セラミック築造)修復を行いました。
上の写真ですね。
ですが。。不幸にもお子様の頭が歯を直撃して、土台の根から折れてしまいました。
真ん中の写真です。
部分的に歯肉縁下2~3mmと深い破折ですが
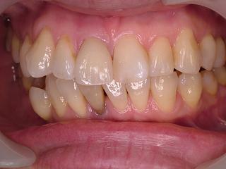
土台(コア)を再築造しオールセラミックスによる補綴を行いました。
コアもファイバーを用いていますので
キレイな透明感が出ています。
上の写真の歯もキレイですが、なんとなく金属色の影が見えますね。
この2~3年でオールセラミックスが審美修復のメインになりました。
以前はセラミックのクラックや破折が懸念されましたが
最近では技工技術の進歩により安定感が大幅に増しました。
患者さまにも以前よりキレイになったと喜んで頂けました。
オールセラミックス、素敵です(笑)
オールセラミックスクラウン症例





