
左上1番オールセラミックスです。
光の透過性、輝き最高ですね。
形、色だけでなく歯ぐきのキレイさにも注目して頂けると嬉しいです。

![]()

術前、術後の写真です。
ホワイトニングをしてから被せていますので
全体的に白く、口もとが明るくなりました。
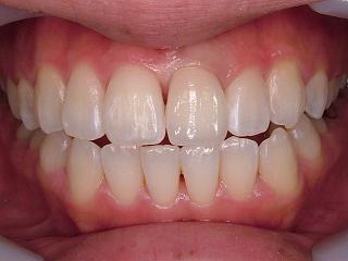
オールセラミックスクラウン症例
オールセラミックスクラウン症例

左上1番オールセラミックスです。
光の透過性、輝き最高ですね。
形、色だけでなく歯ぐきのキレイさにも注目して頂けると嬉しいです。

![]()

術前、術後の写真です。
ホワイトニングをしてから被せていますので
全体的に白く、口もとが明るくなりました。