
![]()

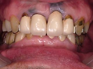
上顎前歯部のやり替えです・
2112にメタルボンドの連結冠が入っていました。
歯根端切除をした痕があり、根尖閉鎖に使ったアマルガムにより
歯肉に大きなメタルタトゥーが出来ています。
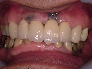
左上1番は保存が難しい為抜歯し②①1②のメタルボンド・ブリッジにて仕上げました。
3番はオールセラミックスですね。
変色が大きい歯ではメタルフレームのあるセラミックの方がbetterですね。
色がキレイに出ます。
逆に天然歯ではオールセラミックス とてもキレイです。
表面的な歯肉の着色はレーザーでとれますが
ここまで深いものは難しいです。
でもキレイにしたいですね。色々調べてみます。
オールセラミックスクラウン症例





