
![]()


オールセラミックです。
やはり美しいです。この輝き透明感は最高です。
この患者さまは、以前にした治療の痛み具合と歯の黄ばみを気にされていたところ
インターネットから当医院を知り来院されました。
すべてキレイにやり直したいとのオーダーを頂きました。
信頼して頂き大変有り難く思います。感謝です。精一杯頑張らせていただきます。
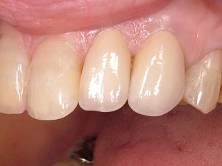
まだ全ての処置が終わった訳ではないのですが
左上23をオールセラミックに変えました。
set直後の写真ですが、歯ぐきの状態も良く、見た目のバランスもキレイですね。
セラミックのみの修復は以前からあるのですが、ジルコニアでシェルをつくり陶材を焼き付ける技術はこの2~3年で最近やっと安定感が出てきました。
とても繊細な処置なので、DRの技量と技工士さんの技術がしっかりしていないとダメなんですね。
当医院を担当して頂いている技工士さんはこの製作技術をほかの技工士さんに教えるインストラクターの先生なので安心して任せられます。
オールセラミックスクラウン症例





