
![]()

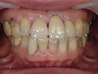
前歯4本のオールセラミックスです。
修復前にホワイトニングで明度を上げています。
この患者さまは前歯の見え方をとても気にされていました。
写真は試適の状態です。
充分機能的で以前に比べると、デザイン 色とも格段に優れていますが
もう少し被蓋(長さ)が欲しいという事で再製となりました。
納得いただけるまで何度でも造り変えます。
患者さまの満足が一番大切ですね。
オールセラミックスクラウン症例
オールセラミックスクラウン症例

![]()

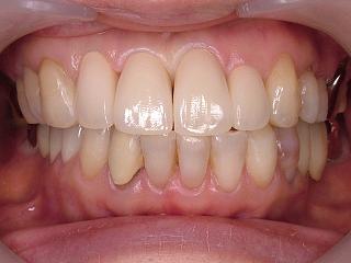
前歯4本のオールセラミックスです。
修復前にホワイトニングで明度を上げています。
この患者さまは前歯の見え方をとても気にされていました。
写真は試適の状態です。
充分機能的で以前に比べると、デザイン 色とも格段に優れていますが
もう少し被蓋(長さ)が欲しいという事で再製となりました。
納得いただけるまで何度でも造り変えます。
患者さまの満足が一番大切ですね。