
![]()

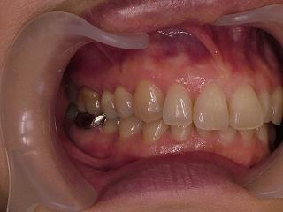
左上6番のハイブリッドです。
口の大きさにもよりますが、笑った時6番までは見えると言われています。
特に普通に会話している時は、下の奥歯よりも上の奥歯の方がよく見えますね。
お口の中に銀色がのぞくと、とても年齢を感じてしまいます。
現在はメタルフリーの修復が主流ですので、金属を使っているのは何年前に治したの?
と言う感覚ですね。
逆に歯の色が白く健康的であれば、とても若々しく見えます。
アンチエイジングにも歯の白さ、輝きは重要です。
オールセラミックスクラウン症例
オールセラミックスクラウン症例

![]()

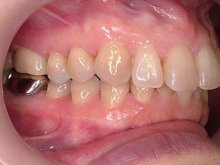
左上6番のハイブリッドです。
口の大きさにもよりますが、笑った時6番までは見えると言われています。
特に普通に会話している時は、下の奥歯よりも上の奥歯の方がよく見えますね。
お口の中に銀色がのぞくと、とても年齢を感じてしまいます。
現在はメタルフリーの修復が主流ですので、金属を使っているのは何年前に治したの?
と言う感覚ですね。
逆に歯の色が白く健康的であれば、とても若々しく見えます。
アンチエイジングにも歯の白さ、輝きは重要です。