
![]()

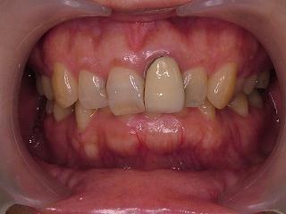
左上1番のオールセラミックスです。
1週間後にお嬢様の結婚式があり、前歯をどうにかしたいと来院されました。
しかしながらあまりに時間がないため、初診時に前歯の間の虫歯を治し
後日左上1番を仮歯にしてブラックマージンを消しました。
ここまでが限界でしたね。。
みなさん余裕をもってご予約下さい(笑)
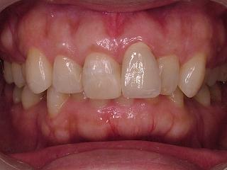
無事に結婚式も終わり、時間的な制約がなくなりましたので
じっくり根の治療のやり直しをしつつ、ホームホワイトニングをして頂き色を白くしています。
あと見え方も少し気になったので、切端を修正してスマイルラインを整えています。
ホワイトニング後の色に合わせてセラミックをセットしました。
やはり透明感、輝きが素敵ですね。
オールセラミックスクラウン症例





