
![]()

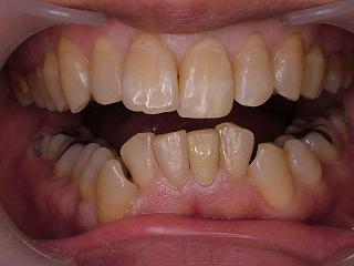
左下1番のハイブリッドによる修復です。
やはりセラミックに比べると輝きが弱く、微妙な色合わせが出来ません。
通常前歯にはあまりハイブリッドはお薦めしないのですが
この患者さまは、かみ合わせが深く通常ではほとんど下の前歯が見えず
審美性はあまり重要視しないとの事でハイブリッドで仕上げました。
では、保険の歯でもイイじゃないか?とお考えの方も多いかと思いますが
下の前歯は機能咬頭(良く咬む場所)が切端で、保険の歯では白い部分がプラスチックで造られている為すぐに削れる、もしくは欠けて金属面が露出してしまうのですね。
ハイブリッドは90%以上セラミックの粒子ですので頑丈です。
オールセラミックスクラウン症例





