
![]()


8%のプラスチックに92%のセラミックの粉を混ぜて作った素材です。
セラミックを極限まで混ぜることによってプラスチック欠の点を隠し
セラミックに近づけました。
しかしプラスチックの欠点を少し持ち合わせているため
ツヤがなくなったり多少の摩耗があります。
耐久性や色の再現性、光の透過性もセラミックにはかないませんが
コストはセラミックの約半分です。
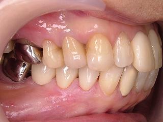
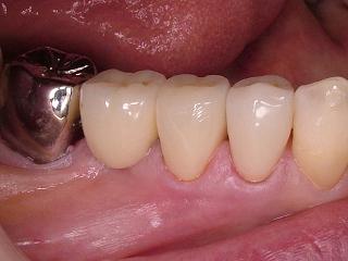
症例は右下のハイブリッドです。
この患者さまは上の前歯の不自然な見え方を気にされていました。
骨格的に多少受け口の傾向があり、下の前歯より上の前歯を前へ出そうとすると
どうしても歯の傾きが大きくなってしまい不自然な感じが出ます。
そこで10ヶ月下顎だけ矯正装置を入れていただき
ブリッジになっていた隙間を利用して下の前歯を全体に後退させてみました。
写真はブリッジを作り直したところです。
上の前歯もやり替え予定ですが現在、仮歯の状態です。
でも歯の見え方は自然ですね。
全て終わりましたらまたUPさせていただきます。
set直後なのでマージンにセメントが多少残っていますね。
しかしきちんとマージン(つなぎ目)が合っていますのでセメントは分断されています。
一度歯磨きをして頂ければキレイに取れます。
前歯では美しさを全面に出したいのでセラミックがベストですが
4番以降にはハイブリッドgoodです。
とてもバランスがとれた良い修復物ですね。
オールセラミックスクラウン症例
ハイブリッド・セラミック
« シリコン印象





