
クリアアライナーやインビザラインに代表される取り外しの出来る矯正装置は
模型上で歯の位置を動かし、その状態をうすいプラスチックシートで再現し
歯に装着して動かして行きます。
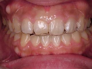
当医院でもよく行いますが、1~2歯だけを動かしたい場合には少し大袈裟になってしまいますので、写真の様に部分的に装着して頂き動かして行きます。
この患者さまは右上1番のみ前に出してラインを揃えます。
期間的には6~10ヶ月程度です。
矯正力をどれだけ加えられるかが歯の動きのスピードに比例します。
ブラケットを付けてしまえば24時間ずっと力が加わっていますので効率的に動きますが
取り外しの出来る装置は、当たり前ですが装着して頂けなければ矯正力は加わりません。
最低でも1日10時間はするようにしてくださいね。
マウスピース矯正の症例





