
![]()

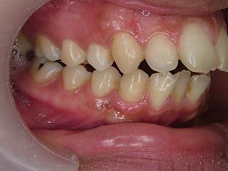
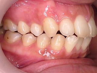
夜間のみ、取り外しの出来る「クリアアライナー」と言う装置で
前歯を引っ込めてみました。
ダイナミックに歯並びを変える事は出来ませんが
この症例の様に1~2本のみの移動には適しています。
歯が動くのは、矯正力を加えることにより歯を支えている骨に改造現象が起こり位置が変わります。歯根膜と言う歯と骨を結んでいる線維を介して骨に添加・吸収を起こさせます。
この添加・吸収が起きるのは力を加え続けて6~8時間後になります。
つまり、5時間使用しても、まったく使用しなくても動かない事に変わりないんですね。
取り外しの出来る装置は手軽ですが、ずっと力を加え続ける事が出来ない為、時間のロスが大きく、ワイヤー矯正の2~3倍以上の時間がかかってしまいます。
インビザラインなども同様です。
この患者さまも10ヶ月かかりましたが、だいぶ印象は変わり、喜んで頂けました。
マウスピース矯正の症例





