
![]()


![]()

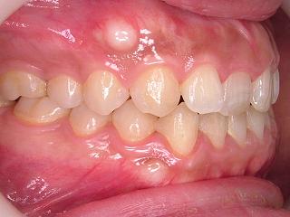
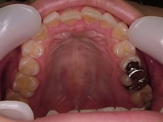
前歯の並びが気になると来院されました。
右上1番が特に内側に入って入っていましたが
1本だけでなく前歯4本がキレイなアーチを描くように4本動かしています。
矯正装置(ブラケット)をつけるのは抵抗があると言う事で
取り外しの出来るマウスピース矯正で仕上げています。
この患者さまの様に歯の傾きだけでキレイになる場合はEssixとても有効ですね。
マウスピース矯正の症例
マウスピース矯正の症例

![]()


![]()

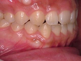
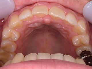
前歯の並びが気になると来院されました。
右上1番が特に内側に入って入っていましたが
1本だけでなく前歯4本がキレイなアーチを描くように4本動かしています。
矯正装置(ブラケット)をつけるのは抵抗があると言う事で
取り外しの出来るマウスピース矯正で仕上げています。
この患者さまの様に歯の傾きだけでキレイになる場合はEssixとても有効ですね。