

エアーフローによるクリーニングです。
この患者さまはホワイトニングを希望され来院されました。
しかし、お話しを伺うと着色が一番気になっているとの事でしたので
まずはクリーニング、その後もっと白くしたいならホワイトニングをしましょうとお話しさせて頂きました。
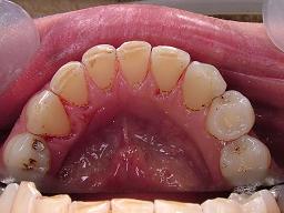
初診当日、約1時間かかりましたがここまでキレイになりました。
エアーフローはほう酸の粉末をJETで歯面に当てステインを除去します。
ブラシの入らない隙間の汚れも取れ、かつ歯は傷めないスグレ物です。
多少しょっぱいですが(笑)
次回からはカリエス、ペリオの処置ですね。
当医院ではまず、患者さまの気になっていることを
出来るだけ早く解決させて差し上げたいと存じます。
エアフロ―(着色汚れ除去)の症例
エアーフロー(着色除去)
« ホワイトニング





