


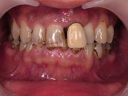
前回のブログの患者さまです。
明日からアメリカに出張されるそうで、歯をキレイにしたかったそうです。
アメリカの人々の歯に対する意識はとても高いです。
歯の美しさがクラスを表わすと言われています。
初対面でハグ&キスの文化ですから、口もとの清潔感は重要ですよね。
グローバルにビジネスをするなら、これからは男性も口もとのうつくしさは重要です。
前回エアーフローによるクリーニングを行い
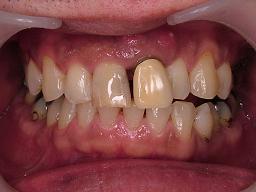
今回は右上1番のCR
左上1番をTEK(仮歯)に換え、前歯のすき間をなくしました。
前歯の中心にすき間があると、だらしなく見えてしまいます。
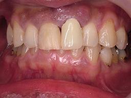
スッキリしました。
日本人は歯が汚いと思われたくないですもんね(笑)
エアフロ―(着色汚れ除去)の症例





