

![]()


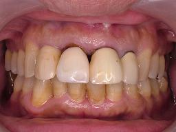
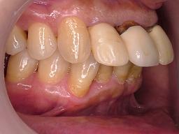
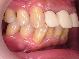
classⅡ症例(上顎前突)前歯のtekです。
オリジナルの歯並びは解りませんが、なんでこんなに前に出ているの?と言う感じでした。
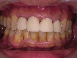
全て神経を取っている歯で、根の先には病巣が出来ています。根の治療の状態は??なのに、とてつもなく太いメタルコアが入っています。外すのが憂鬱ですが、外さない事には根の治療が出来ませんので、歯を割らない様に細心の注意をして次回行います。
本日は冠だけ外してtekにしました。
だいぶ前突感は取れましたが、まだいけますね。tekで最終補綴物のイメージをつくって行くのも大切です。
4本tekをつくるのに約1時間付きっきりでかかりました。で、保険診療費は1本 300円ですので医院の1時間の収入は1200円です。DRとスタッフ3人居て。。泣きたくなりますね(笑)
症例ブログ
tek
« 前歯のCR





