
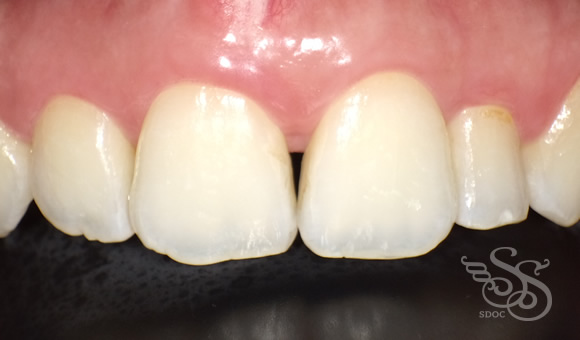
術前

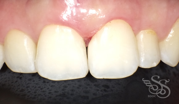
術後

術前

術後
結婚式の前撮りを控え、ブラック・トライアングルが気になるとご来院されました。
ヒアルロン酸をご希望でしたが、日本人の歯茎の幅は薄く、ヒアルロン酸を留めておくことが難しく、なかなか望む効果が出づらいです。
現在、当医院ではヒアルロン酸の扱いを休止しております。
代替え処置としまして、ダイレクトべニア(ダイレクトボンディング)で歯を削らずブラック・トライアングル部に自費CRを盛ります。
この症例では、左側のみ盛っています。
一か所16,500円になります。
症例ブログ

術前

術後

術前

術後
結婚式の前撮りを控え、ブラック・トライアングルが気になるとご来院されました。
ヒアルロン酸をご希望でしたが、日本人の歯茎の幅は薄く、ヒアルロン酸を留めておくことが難しく、なかなか望む効果が出づらいです。
現在、当医院ではヒアルロン酸の扱いを休止しております。
代替え処置としまして、ダイレクトべニア(ダイレクトボンディング)で歯を削らずブラック・トライアングル部に自費CRを盛ります。
この症例では、左側のみ盛っています。
一か所16,500円になります。