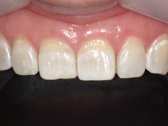
40代女性の患者さま
右上2番のホワイトスポットが気になる。どうにかしたいと来院されました。
ホワイトスポット、幼少期に乳歯をぶつけて乳歯の根尖が待機している永久歯に傷をつけてしまったことで発症します。一種の形成不全ですね。
エナメル質の組成が空疎になり光の屈折率の違いにより白く見えてしまいます。
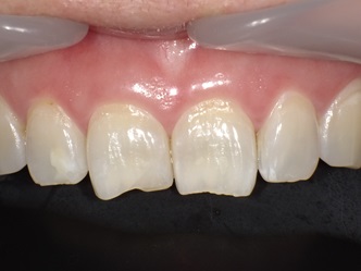
以前はホワイトスポット部を削ってレジン充填が一般的でした。
ICON 低粘性光重合型レジンです。
歯を削ることなく
空疎な部分に入り込みホワイトスポット部を目立たなくします。
切端も審美的に揃えています。
写真ではうっすら痕跡が分かりますが、
普通の会話の距離感ではまずわからないレベルです。
施術料44000円
症例ブログ





