症例ブログ

保険で前歯のブリッジ

2010_10260001.JPG
next2.png
2010_122812HR0004.JPG
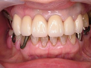
前歯の6本ブリッジ 保険適応のレジン前装冠です。
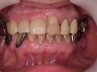
この患者さまは良く噛めないからとご紹介で来院されました。
初診時右上3番は残根状態でその上から321の入れ歯が入っています。
奥歯にも欠損があるのでそちらにも入れ歯で歯をつくっていれば理解出来るのですが
なぜか前歯3本だけの設計でした??
まず3番の根の治療をやり直して土台として使える様にしてから
③21①②③のブリッジにしています。
審美的になりましたね。
前歯が入れ歯と言うのは心理的にもイヤなものだと思います。
可能であればブリッジもしくはインプラントで仕上げたいと考えます。
下もとぎれとぎれの入れ歯が入っているのですが
根の治療をやり直してブリッジにしてあげれば
この患者さまは入れ歯を使わなくてもOKになるでしょう。
患者さまにストレスを与えないないデザインを心掛けております。

ご予約・お問い合わせ

歯学博士 口元からあなたをもっと美しく。すずき歯科・矯正歯科医院

048-648-1800

診療時間 9:00-13:00 / 15:00-19:00
※水は18:00まで 木日祝:休診

診療時間 日祝
9:00-13:00
15:00-19:00

★ 水午後は18:00まで 休診:木・日・祝

〒330-0842
埼玉県さいたま市大宮区浅間町2丁目206−5

電車でお越しの方
JR大宮駅より徒歩約20分、JRさいたま新都心駅より徒歩約15分

お車:首都高速埼玉新都心線「新都心インター」より約5分

駐車場:6台分完備