前回のブログでも書きましたが
習慣性のかみ合わせの位置がCO
関節と筋肉のバランスがイイ位置がCR
理想はCO=CRなのですが
そんな状態の方はまずいません(笑)
顎関節症は疼痛、開口障害、クリックが三大徴候
顎関節の状態と筋肉のバランスが崩れた時に発症します。
治療法としては鎮痛剤の服用、咀嚼筋及び全身の関係している筋肉へのマッサージ
関節への負荷を軽減するように口腔内に
スプリント(ナイトガード)を製作することも多いです。
腰痛時のコルセットのイメージですね。

装着時はすべての歯が当たるように作り
なおかつ、フルバランスのガイドを与えます。
最近、マウスガードをただプレスしただけのものを渡されている
患者さまが何人かいらっしゃいました。
0.1~0.2mm位で5~5であれば
歯ぎしり防止で用いることもありますが
2~3mmもある厚いものでは7番、最後臼歯の早期接触をつくるだけですので
余計に顎に負担をかけるだけです。
スグ外して下さいね。

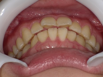
CO 習慣性のかみ合わせの位置です。
1月に顎が痛く、開かなくなり他医院にてプレスしただけのナイトガードを渡されたそうです。
全然良くならないので、当医院に来院されました。

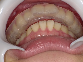
ナイトガードを装着したCRの状態。
下顎が4mm位後退していますね。
装着2週間ですが痛みはなくなりました。
まだ大きな口は開けられませんが
生活に不都合はなくなったそうです。
症例ブログ





