
![]()

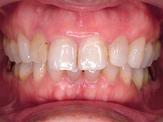
前回の患者さまです。
2番目の歯はキレイになったのですが、前歯の見え方のバランスが悪いので
1番目の歯を少し削ってラインを出しています。
当然歯は傷つけない方が良いのですが
エナメル質の範囲内であれば大きなダメージにはなりません。
切端で2~3mm 両側でも2~3mm 位は大丈夫です。
前歯が被りすぎていると、顎が自然に動かせなくなり歯と顎にストレスを与え、関節症や肩こりの原因になってしまう事もあります。
実際この何ミリかの調整でとてもアゴが楽になったとおっしゃて頂けました。
見え方もとても大切です。
症例ブログ





