
![]()

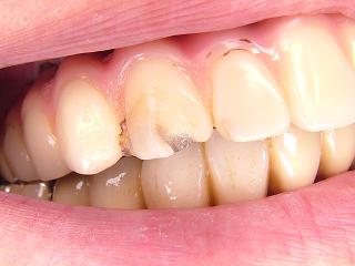
上顎インプラントによるフルブリッジの患者さまです。
10年以上前に他医院で施術されています。
右上3番部のハードレジンが破折しています。
3番は側方力を1番受けますので致し方ない部分もありますね。
破折部分だけでなく、着色も落としてみました。
キレイになりましたね。
次回からインプラント部分の大掃除に入ります。
症例ブログ
症例ブログ

![]()

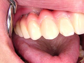
上顎インプラントによるフルブリッジの患者さまです。
10年以上前に他医院で施術されています。
右上3番部のハードレジンが破折しています。
3番は側方力を1番受けますので致し方ない部分もありますね。
破折部分だけでなく、着色も落としてみました。
キレイになりましたね。
次回からインプラント部分の大掃除に入ります。