


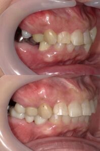
60代 女性の患者さま
長く通院頂いている患者さまです。
かみ合わせが深く
ペリオの問題、前医による不完全な根の治療のトラブル等
色々対処してきたのですが
次から次へと色々問題が出てきていました。
これ以上、歯を失いたくない
年齢的にも治療を頑張れるラストチャンスなのではと
根本からかみ合わせの改善をし
メンテナンスしやすい環境に整えました。
昭和な感じの銀歯も極力外しています。
左上はナチュラルデンチャー
クラスプ部を透明にしていますのでより自然な感じですね。
矯正治療期間 1年8ヶ月
fee 550,000(tax in)円
ナチュラルデンチャー 220,000(tax in)円





