
![]()

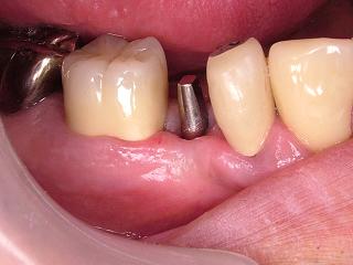
4月18日のブログにUPさせて頂いた患者様です。
本日、上部構造をset致しました。
歯茎もキレイになっていますね。
インプラントはメインテナンスがとても重要です。
当医院では基本的に3ヶ月ごとのRe-Careをお願いしております。
具体的な内容は
かみ合わせのchek
衛生士さんによるPMTC
LASERを用いての除菌処置
になります。
Careを繰り返すことによりトラブルを未然に防ぐ事が可能になります。
症例ブログ
症例ブログ

![]()

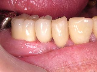
4月18日のブログにUPさせて頂いた患者様です。
本日、上部構造をset致しました。
歯茎もキレイになっていますね。
インプラントはメインテナンスがとても重要です。
当医院では基本的に3ヶ月ごとのRe-Careをお願いしております。
具体的な内容は
かみ合わせのchek
衛生士さんによるPMTC
LASERを用いての除菌処置
になります。
Careを繰り返すことによりトラブルを未然に防ぐ事が可能になります。