
![]()

矯正治療を始める前に虫歯は治しておくべきです。
ですが、初期の小さな虫歯が歯の重なっている部分にある様な場合は
レントゲンでも解らない事が多く
重なりを解いたら、見つかる事もよくあります。
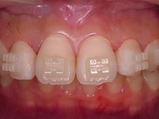
写真は両側1番と2番の間が虫歯になっていました。
コンタクトカリエスですね。
矯正専門医院ではワイヤーを外して、一般歯科へカリエス処置依頼
処置後再び専門医院でワイヤー装着と手間がかかり時間もロスしてしまいますが
当医院では1回の来院時に矯正もカリエス処置も可能です。
時間のロスがありません。
症例ブログ
矯正中の虫歯治療
ホワイトニング »





