
![]()

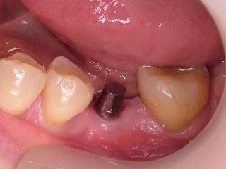
左下6番のインプラントです。
両わきに歯がある場合の修復には3通り考えられます。
1.入れ歯
2.ブリッジ
3.インプラント ですね。
1.入れ歯のメリットは両わきの歯を傷付けないで済む事。
デメリットは違和感が大きい。力が入らない。取扱いが面倒等でしょうか。
2.ブリッジの場合は割りと自然な感じで使えますが
両わきの歯を大きくけずらなくてはなりませんし、力の負担を増やす事になり
歯の寿命を短くしてしまいかねません。
3.インプラントのメリットはご自身の歯の様に使え、両隣の歯に負担をかけずに済みます。
最近ではブリッジよりもインプラントを選択される患者さまが多くなってきました。
みなさん外科処置(インプラント)は怖いと言いますが、受けて頂くと
拍子抜けする位楽だったとおっしゃて下さいます。
費用面でも3本セラミックで修復するより安価になります。
症例ブログ





