
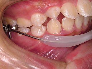
リップバンパーです。
下顎の奥歯をもっと奥に移動させたい。
移動までは望まないが、前に出ない様ホールドしておく。
下顎の歯列の拡大。
奥歯の整直(アップライト)。
口腔周囲筋の活性化、再教育。
等を期待して使用します。
おもに、夜間寝ている間だけ装着していてだきます。
とてもシンプルな装置ですが効果は絶大です。
特に口輪筋が刺激され、引き締まった口もとになりますね。
症例ブログ
症例ブログ

リップバンパーです。
下顎の奥歯をもっと奥に移動させたい。
移動までは望まないが、前に出ない様ホールドしておく。
下顎の歯列の拡大。
奥歯の整直(アップライト)。
口腔周囲筋の活性化、再教育。
等を期待して使用します。
おもに、夜間寝ている間だけ装着していてだきます。
とてもシンプルな装置ですが効果は絶大です。
特に口輪筋が刺激され、引き締まった口もとになりますね。