
![]()

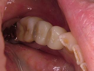
右下45のインプラントです。
④5⑥のブリッジが入っていましたが
4番が歯根破折を起こしてしまい残念ですが抜歯となりました。
抜歯後3ヶ月程骨の造成を待ちインプラント埋入。
その後2ヶ月で仮歯(TEK)→上部構造(白い歯)装着となります。
歯をダメにしてしまう原因は多々あるのですが突き詰めると
細菌感染によるむし歯及び歯周病とオーバーロード(荷重負荷)になります。
この患者さまもオーバーロードによる歯根破折でした。
もう一つ原因をさかのぼると、神経を取ったことにより歯が弱くなっていた事。
もっとさかのぼると虫歯が大きくて神経を取らざるをえなかった事になります。
どんな状況でもリカバリーは可能です。
この患者さまもインプラントによりご自分の歯以上にしっかりと咬める歯を手に入れました。
しかしながら、ご自分の歯で一生過ごせるのが理想ですよね。
その為には、予防による細菌のコントロールと
バランスのとれたかみ合わせが重要になります。
定期的に汚れ落としに通って下さいね。
症例ブログ





