

![]()


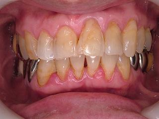
左下67のインプラントです。
もとは ④⑤6 の延長ブリッジでした。
この設計は最悪です。
まずブリッジの考え方の基本として3人分の仕事を2人でしてもらう訳ですから
支える歯の抵抗力が、なくなってしまった歯の抵抗力を上回っていなければなりません。
この設計の抵抗係数は ④+⑤=6 でイコールでは耐えられないのです。
また力のかかり具合が、どんなに形にこだわって造っても
シーソーの原理で 6に力が加わると
⑤を中心として④を抜く様な作用が起きてしまいます。
無理な設計ですので保険でも認められていませんね。
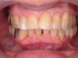
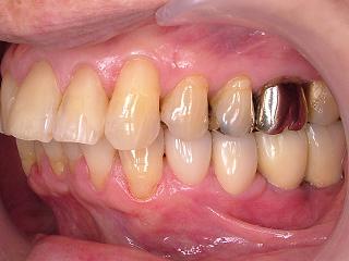
45を単独冠として67にインプラントを埋入しています。
一番の理想型になりました。
症例ブログ
インプラント
« 歯肉圧排





